ESTÉTICA DENTAL
PIDE TU CITA
¿Qué es la Estética Dental?
La Estética Dental es una especialidad de la odontología que se encarga de aportar armonía y belleza a la sonrisa gracias a técnicas altamente eficaces. Es por tanto uno de los tratamientos más demandados gracias a los resultados que ofrece mejorando la sonrisa de nuestros pacientes.
En Clínica Flordent realizamos diferentes tratamientos de Estética Dental para ofrecerte la mejor versión de tu sonrisa.
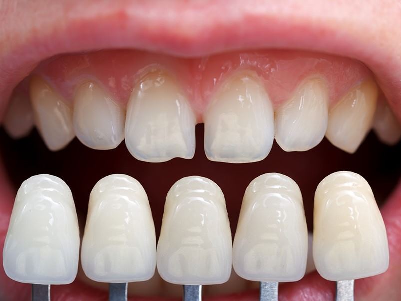
Carillas
Las Carillas es un tipo de prótesis dental altamente eficaz para disimular imperfecciones dentales. Consisten en unas finas láminas de porcelana o composite que se adhieren a la parte externa de los dientes con el objetivo de corregir pequeños defectos relativos a la forma, el color, el tamaño y la posición de las piezas dentales.
Dientes descoloridos, separados, rotos, torcidos o pequeños son algunos de problemas que solucionan las carillas dentales.
En Clínica Flordent contamos con un equipo de especialistas en estética dental que se encargará de asesorarte sobre cuáles son las carillas que mejor se adaptan a tus necesidades.
BLANQUEAMIENTO
El Blanqueamiento Dental es un tratamiento estético que consigue aclarar varios tonos el color del esmalte dental mediante la aplicación de geles con agentes blanqueadores, logrando una sonrisa más brillante y luminosa.
El consumo de determinados alimentos como el café, el vino tinto o los frutos rojos puede oscurecer las piezas dentales, así como realizar una inadecuada higiene oral.
En Clínica Flordent contamos con un equipo de especialistas en estética dental que se encarga de asesorarte cuál es la opción más adecuada en función de tus necesidades, brindándote la sonrisa que siempre has deseado.
Aeropulidor
El aeropulidor es una herramienta utilizada en la limpieza o profilaxis dental. Suelen usarse como elemento auxiliar cuando existe una importante acumulación de sarro debajo de las encías. Este sistema elimina las manchas de los dientes consiguiendo un mayor brillo en el esmalte y un blanco más natural y estético para el paciente.
Ventajas del blanqueamiento dental

Resultados desde la primera sesión.

Es un procedimiento indoloro que no genera ningún tipo de molestia.

Mejora de la sonrisa y color de los dientes.

Las piezas dentales adquieren un tono más brillante.

Es un tratamiento rápido, cómodo y sencillo.

Elimina las manchas dentales.

Aumenta la autoestima y la seguridad en sí mismo del paciente.

Tratamiento más económico que otros de estética dental y adaptado a tu bolsillo.
Contacta con nuestra clínica dental ¡Tu primera consulta es gratis!
Contacta con nuestra clínica dental
¡Tu primera consulta es gratis!
Teléfono
Contacto
Dirección
Calle Pere Jacas, 19
08800 Vilanova i la Geltrú - Barcelona
Horario
Lun - Vie
09:30 a 13:30
16:00 a 20:00










